CT2Mesh2Print

Abstract

CT2Mesh2Print outlines a complete workflow for converting medical imaging data into physical, anatomical replicas. The process bridges the gap between digital radiology and additive manufacturing. It begins with acquiring high-resolution CT data, followed by Multiplanar Reconstruction (MPR) and segmentation. The resulting mesh undergoes digital post-processing (cleaning, solidifying, and hollowing) before being 3D printed. The final output is a high-fidelity anatomical study model.

Background & Motivation

Likely influenced by my father, a doctor, I have always possessed a strong interest in medicine and anatomy. I frequently step outside my IT background to engage with the healthcare field, including completing a pharmacy internship in 2023. Bringing my technical skills to this passion, I developed this project with the specific goal of transforming medical imaging data into physical objects.

David Kaufmann at pharmacy internship
My pharmacy internship was a great opportunity to explore my medical interests.

Data Acquisition

The first step of this workflow is acquiring a CT scan. The quality of the final print is strictly limited by the resolution of the input data. A standard CT scan might be sufficient for diagnosis but too "blocky" for printing. It is crucial to use a high-resolution dataset.

The following scan parameters are generally recommended for optimal results:

  • Gantry Tilt/Oblique Angle: 0° (Prevents geometric distortion)
  • Reconstructed Slice Increment: ≤ Slice thickness
  • Reconstruction Algorithm: "Bone" or "High Resolution" (Enhances edge definition)
  • Slice Thickness: ≤ 1 mm (Essential for smooth vertical details)
  • Pixel Size: ≤ 0.5 mm (For sharp XY resolution)
  • File Format: Uncompressed DICOM
Godfrey Hounsfield with the first CT scanner
Godfrey Hounsfield with the first CT scanner (1972).

Digital Reconstruction (DICOM to STL)

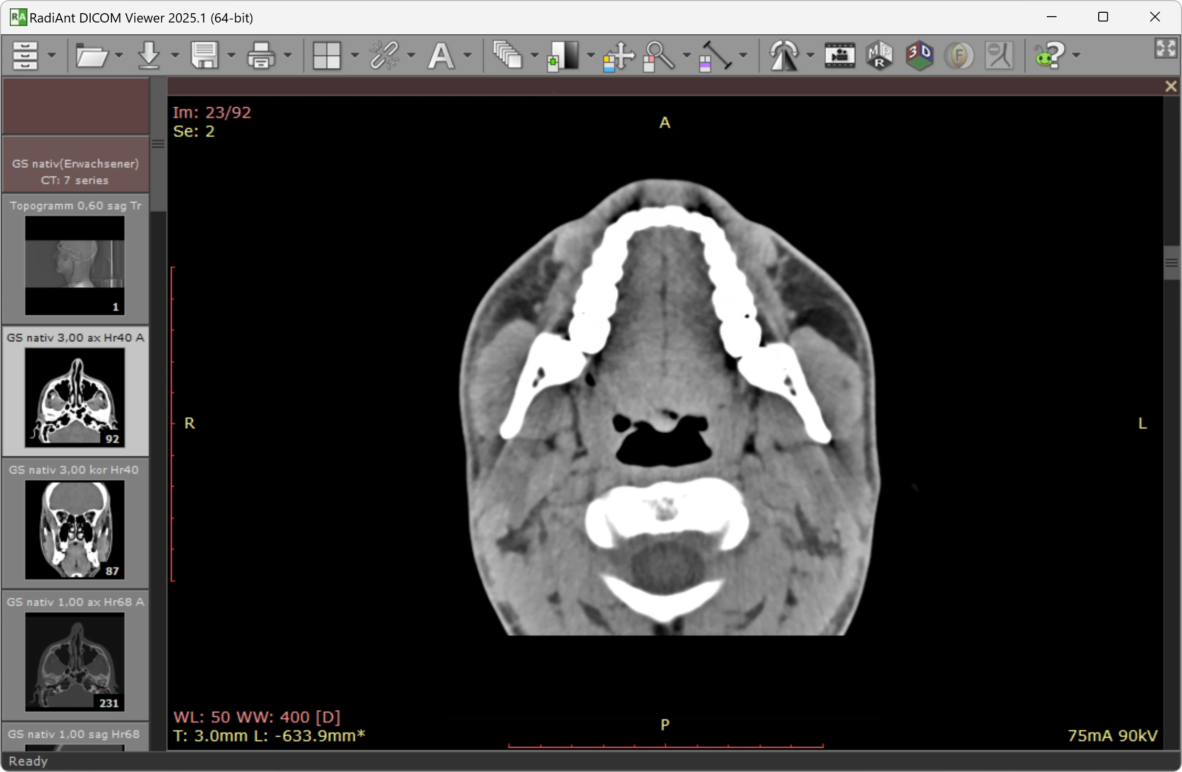
Once the CT scan data is available in DICOM format, the next step is to import it into a DICOM viewer. There are various paid and free options available. For this workflow, I personally use RadiAnt DICOM Viewer, which is a good free option. Load the uncompressed DICOM files into the chosen viewer to begin the digital processing.

RadiAnt DICOM Viewer interface
Raw data loaded into RadiAnt DICOM Viewer.

Multiplanar Reconstruction

With the CT scan loaded into the viewer, the next step is to perform a 3D Multiplanar Reconstruction, or MPR, during which the software stacks the images to create a navigable 3D block.

3D Multiplanar Reconstruction of the skull
Initial 3D Multiplanar Reconstruction (MPR).

Segmentation

Now, we need to refine the 3D MPR by choosing the correct algorithm and adjusting the threshold settings. The goal is to accurately isolate the cranial bones and cervical vertebrae from the surrounding soft tissues and noise. Look for an algorithm specifically designed for bone visualization. In RadiAnt DICOM Viewer, this is named "Bones B/W".

After selecting the appropriate algorithm, you'll need to meticulously adjust the threshold. This process involves setting a range of pixel intensity values that correspond to bone tissue. The aim is to ensure that the bones are clearly visible and well defined, while simultaneously minimizing any unwanted noise or artifacts from other tissues.

Segmented skull after threshold adjustment
Optimized thresholding ready for export.

Mesh Processing

The exported data is saved as an STL file. The STL format is the industry standard for 3D printing, representing a 3D model as a collection of interconnected triangles. However, medical STLs are rarely print-ready. They are often "dirty" meshes containing millions of disconnected triangles, internal noise, and non-manifold geometry.

Raw STL file showing defects in Meshmixer
The raw export in Meshmixer: Note the many defects (mostly mesh islands).

Model Cleaning

After exporting the STL file, you'll likely find that the raw model is far from ideal for 3D printing. It often contains numerous issues such as disconnected planes, isolated mesh islands, various holes, and excessively thin walls. These imperfections make the model unsuitable for direct printing. This step involves a series of cleaning and preparation tasks:

  • Smoothing: The initial mesh can be jagged or noisy. Software like Blender is excellent for smoothing out the surfaces, creating a more aesthetically pleasing and printable model.
  • Island Removal: Often, the segmentation process leaves behind small, disconnected pieces of mesh, referred to as "islands." These need to be removed to ensure a clean, continuous model. Tools like Meshmixer are ideal for this task.
  • Solidification: It's essential to ensure your model is "watertight" or solid, meaning it has no open edges or gaps. To ensure a successful print, I made the model "watertight" by filling the brain cavity. This creates a solid object that is much easier to print.
  • Wall Thickness: For successful 3D printing, especially with resin printers, a minimum wall thickness is vital to prevent breakage and ensure structural integrity. You must ensure the model has a minimum wall thickness of at least 1mm throughout.
  • Hollowing: To save on printing material and reduce print time, the final step in preparation is to hollow out your STL file. Meshmixer is a great tool for this. When hollowing, remember to add drainage holes strategically to allow uncured resin to escape from the inside of the model during post processing.
The optimized STL model.

Support Generation

For the final resin print, supports are mandatory. Gravity will pull down any overhanging features (like the teeth or chin) during printing. Supports are temporary structures that prevent overhangs and intricate details from collapsing during the printing process, especially with resin printers. There are many excellent software options available for generating supports, including Ultimaker Cura, PrusaSlicer, and Meshmixer. The software will analyze your model's geometry and automatically suggest optimal support placement, which you can then fine tune manually for best results.

3D model with support structures in Meshmixer
Final STL prepared with supports.

Prototyping

Before committing to a long, high-resolution resin print, which involves expensive materials and a labor-intensive post-processing workflow, it is often wise to create a prototype using FDM (Fused Deposition Modeling). FDM printing uses thermoplastic filaments like PLA, making it an incredibly cost-effective way to "fail fast" and iterate. This allowed me to check the scale and physical ergonomics cheaply.

While the FDM version lacks the fine detail and "bone-like" surface finish of a resin print, it serves as a crucial physical proof-of-concept. Once I was satisfied with the physical dimensions and the stability of the model, I could move forward to the final production phase with confidence.

3D printed FDM prototype of skull model
FDM Prototype: Low fidelity, but excellent for verifying geometry and scale.

Production

I decided to utilize JLC3DP, a professional 3D printing service. They have industrial-grade SLA machines that could print the skull in a single piece with incredible surface quality.

The process of preparing this file and seeing the high-quality result from JLC3DP actually motivated me to finally invest in my own hardware, and I subsequently purchased an Anycubic Kobra X to continue my experiments with 3D printing.

Even though I used a service for the main skull, understanding the resin workflow is key to the project.

Printing

For detailed anatomical models like this, resin based 3D printers (SLA or DLP) are highly recommended due to their ability to produce incredibly fine details and smooth surfaces. While many consumer grade resin printers are available, a common challenge is their build volume. Most can't print a full sized skull in a single piece.

You have a few options to overcome this:

  • Slicing the Model: You could slice your digital model into smaller, manageable sections using your slicing software. These sections can then be printed separately on a consumer 3D resin printer and later assembled.
  • Online Printing Services: Many online services specialize in 3D printing and have industrial grade machines with larger build volumes. You can simply upload your STL file and have them print and ship it to you.
  • Local Print Shops: Some local print shops offer 3D printing services, allowing you to print your model yourself or have them do it for you.
  • Scaling the Model: If absolute life size accuracy isn't critical, you could scale down your model to fit within the build volume of a more common consumer 3D printer.
The printing process (SLA): UV light selectively cures the resin.

Post-Print Washing

After the model has finished printing on the resin printer, it will emerge covered in uncured, sticky liquid resin. This residual resin needs to be thoroughly removed to prevent it from interfering with the final curing process and to ensure a clean, non tacky finish. This is where post print washing comes in.

The most common and effective method is to wash the printed model in isopropyl alcohol (IPA) or a specialized resin cleaner. You can use a wash and cure station, which automates this process, or perform it manually using a container filled with IPA and a soft brush. Gently agitate the model in the cleaning solution, ensuring all surfaces are exposed. You might need to perform multiple washes with fresh IPA until the model is no longer sticky. Always handle uncured resin with gloves and ensure proper ventilation, as it can be an irritant.

Washing in a bath of solvent eliminates uncured resin.

UV Post-Curing

Once your 3D printed model is thoroughly washed and dry, the next step is UV post curing. While the resin is partially cured during the printing process by the printer's UV light, it's not fully hardened or stable. Post curing exposes the model to additional ultraviolet (UV) light, which completes the polymerization process, fully hardening and strengthening the resin structure.

This step significantly improves the model's mechanical properties, making it less brittle, more durable, and resistant to warping or deformation over time. It also eliminates any remaining tackiness on the surface. You can use a dedicated UV curing station (often combined with a wash station), a DIY UV light box, or even direct sunlight (though control over UV exposure is less precise). Ensure all surfaces of the model are exposed to the UV light for the recommended duration, typically a few minutes, depending on the resin type and UV light intensity. This final hardening process is essential for the longevity and integrity of the 3D print.

Exposure to heat and UV light finalizes part properties by completing the chemical reaction started during printing.

Inspection and Finishing

After receiving the print and removing the supports, the result was a highly accurate anatomical model. However, you might notice that the final image below looks slightly different from the digital models shown in previous steps.

During the process, I went back to the source data and found a second CT scan from the same patient. I digitally combined both datasets to create a truly complete model that covers the entire skull. The image below shows this final, merged result.

If using your own resin printer, the final steps involve a thorough inspection and any necessary finishing touches to prepare the anatomical model for presentation or study:

  • Support Removal: Carefully take off all those supports. You can use flush cutters, pliers, or even your fingers, depending on where they are. Make sure not to scratch the model.
  • Final Cleaning: After support removal, there might be small nubs or marks where the supports were attached. You can gently sand these down with fine grit sandpaper or use a hobby knife to carefully trim them for a smoother finish.
  • Quality Checks: Perform a detailed quality check of the entire model. Look for any remaining uncured resin, small imperfections, or areas that might need further refinement. Ensure all details are crisp and accurate according to the original scan.
  • Optional Finishing: Depending on your desired outcome, you might consider additional finishing steps like priming and painting the model to enhance its visual appeal or highlight specific anatomical features.

With these steps completed, the detailed, tangible 3D printed anatomical model is ready! It's a fantastic tool for personal study, educational purposes, or simply as a unique piece of art.

3D SLA printed skull model
The final result: A high-resolution SLA print of the fully combined skull data.